Стоматологический центр 33 зуба

Популярные услуги

Акции и скидки

Имплантация All-on-4 за 1 день
Срок действия
Постоянная акция
Представлены текущие акции
Новые предложения появятся позже

Подробнее о компании 33 зуба

Зачем мы обычно обращаемся в стоматологию? Как правило, если нас настигла внезапная зубная боль. В стоматологическом центре 33 зуба с особой заботой отнесутся к вашему случаю. Новейшие технологии в сфере стоматологии позволяют нашим специалистам успешно излечивать заболевания полости рта и проводить профилактические мероприятия.

Если вы собираетесь добиться ровной и сверкающей улыбки, то работу над ней лучше доверить экспертам. В стоматологическом центре 33 зуба имеется специализированное оборудование для того, чтобы ваши зубы всегда были здоровыми. В нашей стоматологии оказывают услуги лечения кариеса, удаления зубов, отбеливания, исправления прикуса, рентгенологической диагностики, изготовления имплантов, а также установки металлокерамики, имплантов, виниров. Пусть ваша улыбка будет яркой, а зубы крепкими!

В своей работе мы применяем. Также мы поможем с.

Записаться на прием к интересующему вас специалисту можно по телефону.

Фотогалерея

Специалисты

Алина Павловна Логинова
Алина Павловна Логинова
Логинова А.П врач-стоматолог: Профессиональная гигиена полости рта; Эндодонтическое лечение корневых каналов (пульпитов и периодонтитов); Индивидуальный подбор гигиенических средств; В совершенстве владеет методиками эстетической реставрации всех групп зубов фотополимерными композиционными материалами; Диагностика и лечение всех видов кариеса и его осложнений; Современные техники эндодонтического лечения под микроскопом (лечение корневых каналов) и использование трехмерной горячей методики обтурации; Профессиональная гигиена полости рта ( Air-Flow); Извлечение инородных тел из корневых каналов; Работа с коффердамом; Подготовка полости рта к протезированию; Художественные реставрации фронтальной и жевательной группы зубов.
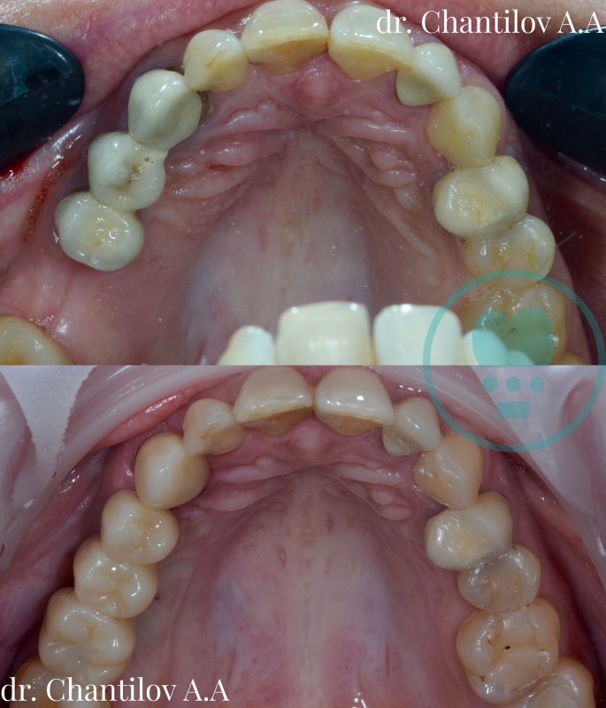
Алимагомед Алиевич Чантилов
Алимагомед Алиевич Чантилов
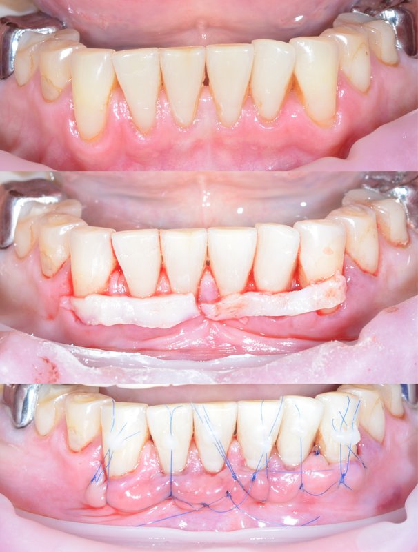
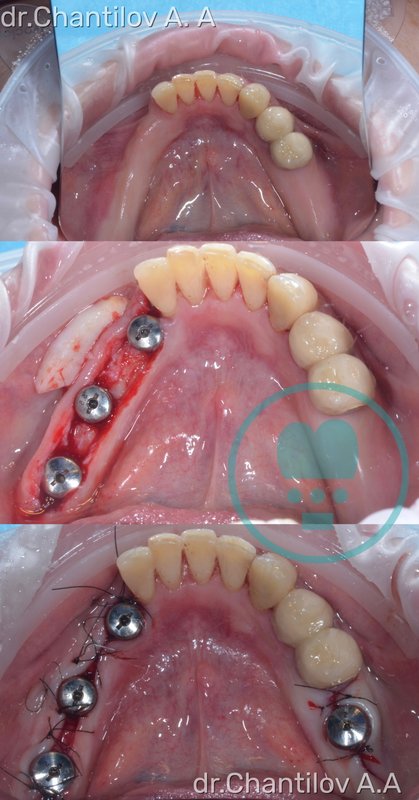
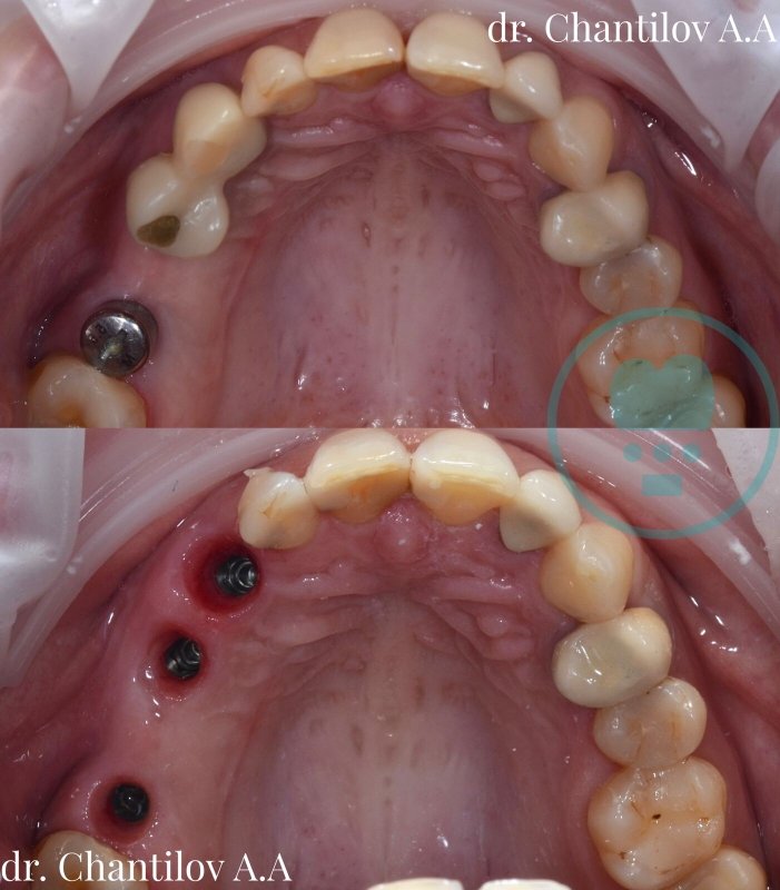
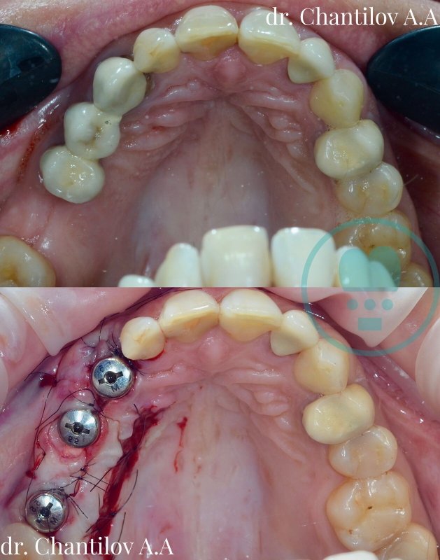
КРАТКО О ВРАЧЕ ХИРУРГЕ-СТОМАТОЛОГЕ ЧАНТИЛОВЕ А.А.

Процент успешных операций врача стоматолога- хирурга по имплантации и костной пластике больше 99%;
Врач стоматолог- хирург установил свыше 2000 зубных имплантов, более 99 % из них хирург поставил успешно;
О нашем стоматологе имплантологе - только положительные отзывы;
Врач стоматолог- хирург Чантилов А.А занимает лидирующие места в рейтингах имплантологов Липецка.


ЧАНТИЛОВ А.А ВРАЧ-СТОМАТОЛОГ-ХИРУРГ:
3D-планирование полной реабилитации при отсутствии зуба, а также при полном отсутствии зубов
Работа с навигационными шаблонами для зубной имплантации;
Атравматическое удаление зубов, что позволяет провести дентальную имплантацию вместо удаленного зуба в день операции;
Двухэтапная и одноэтапная имплантация зубов;
Имплантации по классической методике;
Одномоментные имплантации, имплантации с немедленной нагрузкой;
Устранение осложнений, связанных с имплантологическим лечением;
Костнопластические операции по увеличению высоты и ширины костной ткани для последующей имплантации (НРК, синус-лифтинг);
Проведение хирургических вмешательств под местным обезболиванием;
Лечение альвеолитов;
Удаление зубов любой сложности;
Удаление зубов мудрости, атипичное удаление.
Работает с наиболее известными и популярными по рейтингу системами имплантатов: Dentium (Южная Корея).
ЧАНТИЛОВ А.А ВРАЧ-СТОМАТОЛОГ-ТЕРАПЕВТ:
Эндодонтическое лечение корневых каналов (пульпитов и периодонтитов);
Индивидуальный подбор гигиенических средств;
В совершенстве владеет методиками эстетической реставрации всех групп зубов фотополимерными композиционными материалами;
Диагностика и лечение всех видов кариеса и его осложнений;
Современные техники эндодонтического лечения под микроскопом (лечение корневых каналов) и использование трехмерной горячей методики обтурации;
Профессиональная гигиена полости рта ( Air-Flow);
Извлечение инородных тел из корневых каналов;
Работа с коффердамом;
Подготовка полости рта к протезированию;
Художественные реставрации фронтальной и жевательной группы зубов.
ЧАНТИЛОВ А.А ВРАЧ-СТОМАТОЛОГ-ОРТОПЕД:
Специалист применяет современные технологии эстетического протезирования в стоматологии;
Проводит фото, видео диагностику зубочелюстной системы;
Использует цифровое моделирование улыбки (DSD) в своей практике;
Выполняет прогноз реконструкции wax-up с применением артикулятора, работает с лицевой дугой Amann Girbah (с учетом всех индивидуальных функциональных параметров пациента);
Осуществляет получение цифровых оттисков при помощи интраорального сканера 3shape Trios, 3D диагностика.
Владеет методиками изготовления протезов с опорой и фиксацией на зубные имплантаты, съемными, несъемными и условно съемными конструкциями;
Проводит тотальное протезирование зубов при функциональных нарушениях зубочелюстной системы (при полном отсутствии зубов);
Выполняет определение центрального соотношения челюстей, индивидуальную регистрацию движений нижней челюсти;
Специалист по установке виниров ;
Микропротезирование с использованием дентального микроскопа, бинокуляров;
Полное и частичное съемное протезирование.
Несъёмное протезирование:
Безметалловая керамика (изготовление виниров, также полные коронки на основе диоксид циркония Cercon), пресс-керамика E-max;
Восстановление эстетики зубов керамическими винирами ;
Коррекция улыбки керамическими и композитными винирами;
Изготовление безметалловых и металлических штифтово-культевых вкладок;
Эстетическое протезирование на имплантатах (керамика на основе диоксида циркония, на индивидуальных абатментах, а также металлокерамические конструкции на стандартных абатментах;
Изготовление штифтовых конструкций, штифтовых зубов облицованных керамикой;
Изготовление металлокерамических коронок и мостовидных протезов любой сложности;
Изготовление микропротезов, вкладок ;
Изготовление временных конструкций.
Съёмное протезирование:
Изготовление полных съемных и частичных съемных протезов на основе акриловых и нейлоновых масс;
Изготовление бюгельных протезов любой степени сложности, с замковой и кламерной системой фиксации;
Изготовление прямым методом временных защитных конструкций.
СПЕЦИАЛИСТ ЧАНТИЛОВ А.А. УЧАСТВОВАЛ В СЕМИНАРАХ И КУРСАХ:

2023


Сертификат " Хирургический, ортопедический и технический протокол в реализации концепции "Full Dental Arch", г.Анапа
Сертификат "Физиологическая окклюзия", г.Анапа
2021

Сертификат "Методология препарирования виниры/накладки/коронки", г.Москва
Сертификат "Эстетическая стоматология", г. Дубай;
Крымский международный конгресс: "Стоматологическая имплантология"
Сертификат "Конусно-лучевая компьютерная томография в стоматологической и ЛОР-практике", г.Липецк
Сертификат "Особенности тотального протезирования", г. Ессентуки
2019

Сертификат "Базовый курс.Протезирование на имплантатах";
Сертификат "Одномоментная имплантация.Ежедневная практика"
2018


Практический курс у Дмитрия Колесникова "Основы современного несъемного протезирования", г.Липецк ;
2017

Сертификат "Базовый курс по имплантации зубов. 3D планирование.Хирургический протокол Implantium & SuperLine";
2016

Сертификат «Базовый курс по имплантации зубов.Хирургический протокол Implantium & SuperLine», г. Воронеж;
Ольга Германовна Сергеева
Ольга Германовна Сергеева
Врач-стоматолог-терапевт
Врач стоматолог-терапевт Сергеева О.Г. - высокопрофессиональный внимательный специалист с индивидуальным подходом к своим пациентам.

Специалист по эндодонтии и реставрационным комплексам.
СЕРГЕЕВА О.Г ВРАЧ-СТОМАТОЛОГ-ТЕРАПЕВТ ПРОВОДИТ:
Эндодонтическое лечение корневых каналов (пульпитов и периодонтитов);
Индивидуальный подбор гигиенических средств;
В совершенстве владеет методиками эстетической реставрации всех групп зубов фотополимерными композиционными материалами;
Диагностика и лечение всех видов кариеса и его осложнений;
Современные техники эндодонтического лечения под микроскопом (лечение корневых каналов) и использование трехмерной горячей методики обтурации;
Профессиональная гигиена полости рта ( Air-Flow);
Извлечение инородных тел из корневых каналов;
Работа с коффердамом;
Подготовка полости рта к протезированию;
Художественные реставрации фронтальной и жевательной группы зубов.
Галина Сергеевна Мишина
Галина Сергеевна Мишина
Врач-стоматолог
Врач стоматолог Трубицына Г.С. - высокопрофессиональный внимательный специалист с индивидуальным подходом к своим пациентам.

Трубицына Г.С. - врач клиники стоматологии "33 зуба".

Специалист по эндодонтии и реставрационным комплексам.
ТРУБИЦЫНА Г.С ВРАЧ-СТОМАТОЛОГ:
Профессиональная гигиена полости рта;
Эндодонтическое лечение корневых каналов (пульпитов и периодонтитов);
Индивидуальный подбор гигиенических средств;
В совершенстве владеет методиками эстетической реставрации всех групп зубов фотополимерными композиционными материалами;
Диагностика и лечение всех видов кариеса и его осложнений;
Современные техники эндодонтического лечения под микроскопом (лечение корневых каналов) и использование трехмерной горячей методики обтурации;
Профессиональная гигиена полости рта ( Air-Flow);
Извлечение инородных тел из корневых каналов;
Работа с коффердамом;
Подготовка полости рта к протезированию;
Художественные реставрации фронтальной и жевательной группы зубов.
Ольга Алексеевна Чантилова
Ольга Алексеевна Чантилова
Врач стоматолог Баязова Ольга Алексеевна - высокопрофессиональный внимательный специалист с индивидуальным подходом к своим пациентам.

Баязова О.А. - врач клиники стоматологии "33 зуба".

Специалист по эндодонтии и реставрационным комплексам.
БАЯЗОВА О.А. ВРАЧ-СТОМАТОЛОГ ПРОВОДИТ:
Эндодонтическое лечение корневых каналов (пульпитов и периодонтитов);
Индивидуальный подбор гигиенических средств;
В совершенстве владеет методиками эстетической реставрации всех групп зубов фотополимерными композиционными материалами;
Диагностика и лечение всех видов кариеса и его осложнений;
Современные техники эндодонтического лечения под микроскопом (лечение корневых каналов) и использование трехмерной горячей методики обтурации;
Профессиональная гигиена полости рта ( Air-Flow);
Извлечение инородных тел из корневых каналов;
Работа с коффердамом;
Подготовка полости рта к протезированию;
Художественные реставрации фронтальной и жевательной группы зубов
Евгений Олегович Мишин
Евгений Олегович Мишин
МИШИН Е.О. ВРАЧ-СТОМАТОЛОГ:
Атравматическое удаление зубов, что позволяет провести дентальную имплантацию вместо удаленного зуба в день операции;
Удаление зубов мудрости;
Удаление ретинированных, дистопированных зубов;
Лечение альвеолитов;
Операции по цистэктомии;
Операции по коррекции альвеолярного гребня перед ортопедическим лечением;
Зубосохраняющие операции (Апикальная хирургия);
Имплантация по классической методике.
Работает с наиболее известными и популярными по рейтингу системами имплантатов: Dentium (Южная Корея).
Роман Юрьевич Моргачев
Роман Юрьевич Моргачев
Врач-стоматолог-ортопед
Врач стоматолог-ортопед Моргачев Роман Юрьевич - отличный специалист с большим опытом работы.

Специалист применяет современные технологии эстетического протезирования в стоматологии;
Проводит фото, видео диагностику зубочелюстной системы;
Использует цифровое моделирование улыбки (DSD) в своей практике;
Выполняет прогноз реконструкции wax-up с применением артикулятора, работает с лицевой дугой Amann Girbah (с учетом всех индивидуальных функциональных параметров пациента);
Осуществляет получение цифровых оттисков при помощи интраорального сканера 3shape Trios, 3D диагностика.
Владеет методиками изготовления протезов с опорой и фиксацией на зубные имплантаты, съемными, несъемными и условно съемными конструкциями;
Проводит тотальное протезирование зубов при функциональных нарушениях зубочелюстной системы (при полном отсутствии зубов);
Выполняет определение центрального соотношения челюстей, индивидуальную регистрацию движений нижней челюсти;
Специалист по установке виниров ;
Микропротезирование с использованием дентального микроскопа, бинокуляров;
Полное и частичное съемное протезирование .
Несъёмное протезирование:
Безметалловая керамика (изготовление виниров, также полные коронки на основе диоксид циркония Cercon), пресс-керамика E-max;
Восстановление эстетики зубов керамическими винирами ;
Коррекция улыбки керамическими и композитными винирами;
Изготовление безметалловых и металлических штифтово-культевых вкладок;
Эстетическое протезирование на имплантатах (керамика на основе диоксида циркония, на индивидуальных абатментах, а также металлокерамические конструкции на стандартных абатментах;
Изготовление штифтовых конструкций, штифтовых зубов облицованных керамикой;
Изготовление металлокерамических коронок и мостовидных протезов любой сложности;
Изготовление микропротезов, вкладок ;
Изготовление временных конструкций.
Съёмное протезирование:
Изготовление полных съемных и частичных съемных протезов на основе акриловых и нейлоновых масс;
Изготовление бюгельных протезов любой степени сложности, с замковой и кламерной системой фиксации;
Изготовление прямым методом временных защитных конструкций.
Муслим Арсенович Закарьяев
Муслим Арсенович Закарьяев
Профессиональная гигиена полости рта ( Air-Flow);
Индивидуальный подбор гигиенических средств;
Диагностика и лечение всех видов кариеса и его осложнений;
Отбеливание немецкой системой "Flesh"
Работа с коффердамом;
В совершенстве владеет методиками эстетической реставрации всех групп зубов фотополимерными композиционными материалами;
Художественные реставрации фронтальной и жевательной группы зубов.
Эндодонтическое лечение корневых каналов (пульпитов и периодонтитов);

Лицензии, награды, сертификаты

Отзывы

5,0
Наталия
Преимущества: Клиника очень уютная, персонал в ней доброжелательный, вежливый и обходительный! Делала профессиональную гигиену полости рта, немного присутствовал страх, но доктор рассказал все этапы и медсестра всегда успокаивала и подбадривала! Обязательно буду рекомендовать знакомым, спасибо, процветания вам!
31 мая 2024 Отзыв взят с сайта Zoon.ru
5,0
Светлана
Преимущества: Был последний прием на лечение, теперь остались коронки и удаление зубов мудрости, довольна доктором Несмеяновым Евгений Владимирович все прошло очень очень замечательно, теперь я не боюсь стоматологов
Недостатки: Все отлично, минусов нет
Комментарий: Спасибо клиника 33 зуба!!!
27 мая 2024 Отзыв взят с сайта Zoon.ru
5,0
Александр
Преимущества: Клиникой остался доволен,все прошло замечательно, материалы хорошие,профессиональный подход чувствуется сразу,новое оборудование, чисто во всех кабинетах где я был,хороша музыка на лечение, мне прям очень понравилось все
Недостатки: Их нет,все было хорошо
Комментарий: Записался в данную клинику по отзывам во всех возможных страницах данной клинике, все довольны лечением
23 мая 2024 Отзыв взят с сайта Zoon.ru
5,0
Ольга
Преимущества: Вся семья ходит в данную клинику уже второй год, очень современное оборудование и работают превосходные доктора, лечение проходила лично у Чантилова А.А, потом операция была тоже у него, ну это просто шикарно, все было хорошо, хожу и улыбаюсь на все 33 зуба😁 и советую данную клинику всем Муж лечил зубы у Пашкиной А.А изначально шли со страхом, но доктор рассказал,показал, пролечил и теперь с таким удовольствием ходит лечить, всем семейным подрядом ходим довольные и счастливы Спасибо и еще много раз СПАСИБО❤
22 апреля 2024 Отзыв взят с сайта Zoon.ru
5,0
Наталья
Преимущества: Все ожидания оправдались, клиника замечательная, мне очень понравилось обслуживание, доктора профессионалы, администратор очень вежливый, проходила лечение и удаление зуба мудрости, не больно и без дискомфорта. Спасибо коллективу 33- зуба за проделанную работу
Недостатки: Нет
Комментарий: Я рада, что в Липецке есть такая клиника!
22 апреля 2024 Отзыв взят с сайта Zoon.ru
5,0
Оксана
Была на проф.гигиене у Боязовой О.А. , профессионально, комфортно- отличный результат! Доктор очень понравилась, теперь только к ней! Клиника современная, красивая, прекрасный администратор Эмилия. Спасибо!
13 апреля 2024 Отзыв взят с сайта Zoon.ru
5,0
Ирина Коробова
Самый лучший доктор за всю мою длительную и очень насыщенную историю общения со стоматологами. Врач действительно с большой буквы, а иначе и быть не могло в семейной династии стоматологов! Удачи и профессиональных успехов всей клинике "33 зуба"!
3 августа 2023 Отзыв взят с сайта Zoon.ru
5,0
Татьяна
Хочу выразить огромную благодарность, врачу Максиму Артаковичу за отличную, профессиональную, аккуратную работу, качественное лечение. Внимательное отношение к пациенту! Несмотря на длительность лечения (два часа), время летит просто незаметно! Настолько всё спокойно, врач с медицинской сестрой Ольгой работают очень слаженно, аккуратно, спрашивают о самочувствии, сразу понимаешь, что находишься в руках профессионалов. Джаукцян М. А. - очень профессиональный специалист, рекомендую!!!
16 июня 2023 Отзыв взят с сайта Zoon.ru
5,0
Геннадий
Преимущества: Хочу выразить огромную благодарность клинике 33-Зуба и доктору Горбуновой Н. Ю С огромной проблемой я обратился утром в клинику за помощью, мне ответила администратор Эмилия. Объяснив ситуацию, что во всех клиниках г. Липецка, куда я обращался с моей проблемой- отказали. Меня тут же записали на консультацию к хирургу Горбуновой Н. Ю. Доктор без какого либо ожидания, назначила мне операцию в этот же день, все объяснив отправили с направлением на 3D снимок, все очень оперативно. Вечером приехал на прием, все прошло безболезненно. Наталья Юрьевна успокоила меня сразу, но в процессе была огромная поддержка от доктора. После всего процесса, мне назначили все необходимые препараты, теперь под наблюдением у доктора. Спасибо большое всему коллективу, все прошло хорошо, чему я безумно рад. Я очень рад, что в нашем городе есть такая клиника, которая может решить даже такую сложную ситуацию.
Недостатки: Нет
20 декабря 2022 Отзыв взят с сайта Zoon.ru
5,0
Лилия
Преимущества: Очень хороший доктор, работу выполнил отлично. Девушка на ресепшене вежливая, в клинике чистота. Я довольна!
14 декабря 2022 Отзыв взят с сайта Zoon.ru
5,0
Лера Молчанова
Комментарий: С февраля месяца 2022 года прохожу лечение в клинике 33-зуба! Хочу сказать огромное спасибо всему коллективу.Так приятно когда встречают с улыбкой,всегда очень вежливые и приветливые. В кабинете у доктора,очень комфортно,доктор всегда рассказывает,что он делает,увлекательный процесс как для доктора,так и для пациента.
14 декабря 2022 Отзыв взят с сайта Zoon.ru
5,0
Ольга
Приходила на процедуру ПРОФЕССИОНАЛЬНАЯ гигиена полости рта,я в восторге !!! Все этапы Процедуры проходили безболезненно ,рекомендую !
19 августа 2022 Отзыв взят с сайта Zoon.ru
5,0
Анна
Преимущества: Клиника очень расположила к себе, начиная от администратора, и заканчивпя персоналом. Лечение очень комфортное, доктор вежлив и аккуратен. Понравилось все! Буду постоянным клиентом!
26 января 2022 Отзыв взят с сайта Zoon.ru
5,0
Софья
Комментарий: Огромная благодарность доктору Чантилову за эффективное лечение кисты, которая меня мучала довольно долгое время. Рекомендую клинику! Все четко и профессионально!
28 декабря 2021 Отзыв взят с сайта Zoon.ru
5,0
Галина Иванова
Удаляла зуб мудрости. Удаление было непростое, но прошло все четко, комфортно и безболезненно! Очень внимательный доктор, профессионал своего дела! Рекомендую клинику!
20 декабря 2021 Отзыв взят с сайта Zoon.ru
5,0
Владислав
Отличная клиника! Устанавливал имплантат переднего зуба. Ни дня без зуба не ходил, все сделали оперативно и быстро в одно посещение! Настоящие профессионалы!
19 декабря 2021 Отзыв взят с сайта Zoon.ru
5,0
Елена
Наконец-то исполнила свою давнюю мечту: установила себе виниры! Не могу не отметить аккуратность всей работ. Делали под микроскопом, поэтому свои зубы практически не пилили (что лично для меня огромный плюс), выглядит максимально натурально и нереально красиво!!!! Цена адекватная. Спасибо за мою улыбку! Теперь только к Вам и всем рекомендую! С наступающим Новым годом!
15 декабря 2021 Отзыв взят с сайта Zoon.ru
5,0
Ирина Титова
Была недавно на консультации в данной клинике, очень вежливый администратор, грамотный, знающий свое дело, персонал.врачи профессионалы.
15 декабря 2021 Отзыв взят с сайта Zoon.ru
5,0
Эльдар
Самый лучший и профессиональный, по моему мнению, имплантолог в г.Липецк
5 мая 2021 Отзыв взят с сайта Zoon.ru
Удалить отзыв

Остались вопросы?

Вы можете воспользоваться любым из указанных способов связи
Контактный номер
+7 (910) 250-92-... Показать
Мессенджеры